• آبان ۲۹, ۱۴۰۳

    بهترین دکتر برداشتن تومور از فک در کرمان + لیست 10 تایی

    تومورهای فک یکی از مشکلات جدی و پیچیده‌ای هستند که می‌توانند سلامتی…

  • آبان ۲۸, ۱۴۰۳

    بهترین دکتر جراحی لثه در شیراز + لیست 10 تایی

    لثه‌ها به عنوان بخشی مهم از سیستم دندانی بدن نقش بسیار حیاتی…

  • آبان ۲۷, ۱۴۰۳

    بهترین دکتر اندو دندان در اهواز + لیست 10 تایی

    درمان ریشه دندان یا همان اندو دندان، یکی از مهم‌ترین روش‌های دندانپزشکی…

  • آبان ۲۶, ۱۴۰۳

    بهترین دکتر بریج دندان در تهران + لیست 10 تایی

    از دست دادن یک یا چند دندان می‌تواند تأثیر زیادی بر ظاهر…

  • آبان ۲۵, ۱۴۰۳

    بهترین دکتر بلیچینگ دندان در اصفهان + لیست 10 تایی

    داشتن دندان‌هایی سفید و درخشان یکی از مهم‌ترین عناصر زیبایی صورت و…

  • آبان ۲۴, ۱۴۰۳

    بهترین دکتر پرکردن دندان شیری در مشهد + لیست 10 تایی

    دندان‌های شیری یکی از مهم‌ترین اجزای رشد کودکان هستند که به آن‌ها…

  • آبان ۲۳, ۱۴۰۳

    بهترین دکتر روت کانال در رشت + لیست 10 تایی

    در دنیای دندانپزشکی، یکی از مهم‌ترین روش‌های درمانی که نقش کلیدی در…

  • آبان ۲۲, ۱۴۰۳

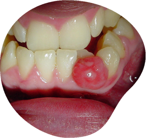
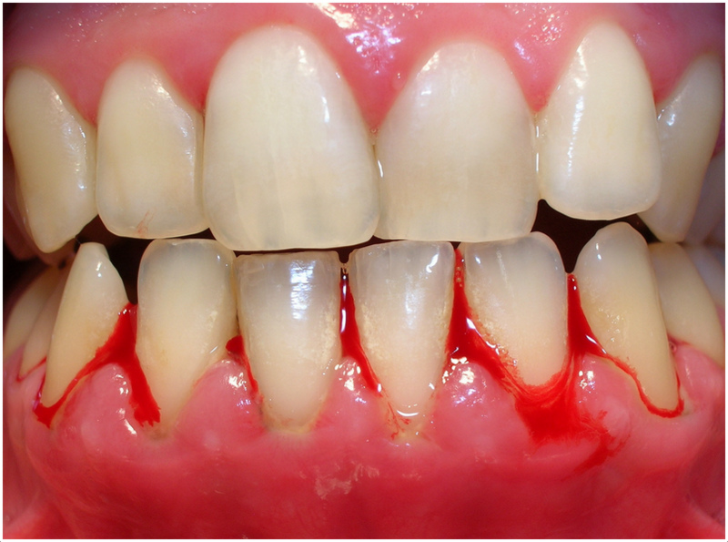
    بهترین دکتر خونریزی دندان در شیراز + لیست 10 تایی

    خونریزی دندان یکی از مشکلات شایع دهان و دندان است که ممکن…

  • آبان ۲۱, ۱۴۰۳

    بهترین دکتر ارتودنسی در کرمان + لیست 10 تایی

    ارتودنسی یکی از شاخه‌های مهم و حیاتی در دندانپزشکی است که به…

  • شهریور ۱, ۱۴۰۱

    ایمپلنت دیجیتال And Love – چگونه آنها یکسان هستند

    نقش شوراهای ولایتی مشارکت در برنامهریزیهای توسعه ولایت و نظارت و ارزیابی…

  • شهریور ۱, ۱۴۰۱

    کسب و کار پر رونق می خواهید؟ روی کلینیک دندانپزشکی شبانه روزی تمرکز کنید!

    پاتولوژیستهای دهان بیوپسی، بافت یا ضایعهای که توسط سایر دندانپزشکان به آنها…

  • شهریور ۱, ۱۴۰۱

    راه درست ایجاد اضافی جرم گیری با انجام خیلی کمتر

    خمیر دندان را می توانید با کمک دندانپزشک خود انتخاب و خریداری…

  • شهریور ۱, ۱۴۰۱

    شما می توانید کیک و متخصص ایمپلنت خود را نیز میل کنید

    کلیه حقوق این وب سایت محفوظ و متعلق به خانم دکتر هدی…

  • شهریور ۱, ۱۴۰۱

    کسب و کار پر رونق می خواهید؟ روی جرم گیری تمرکز کنید!

    البته این زمان را دندانپزشک تعیین می کند. اگر خونریزی کم و…

  • شهریور ۱, ۱۴۰۱

    علت پوسیدگی دندان بدترین دشمن شماست. 10 روش برای شکست دادن آن

    درد ممکن است به گوش، فک پایین و گردن در همان سمتی…

  • شهریور ۱, ۱۴۰۱

    ده مستقیم راه‌ها ساخت ایمپلنت دیجیتال سریعتر

    رزین کامپوزیت مستقیما روی دندان های شما و توسط دندانپزشک شکل داده…

  • شهریور ۱, ۱۴۰۱

    زمان را هدر ندهید! 5 اطلاعات برای شروع پر کردن

    در این صورت بهتر است هر چه سریع تر با دندانپزشک خود…

  • شهریور ۱, ۱۴۰۱

    ریشه دندان و اثر هنری زمان مدیریت

    مسواک زدن تهاجمی دندان ها: اگر دندان های خود را خیلی محکم…

  • شهریور ۱, ۱۴۰۱

    چرا در واقع نیاز دارید (الف) خدمات دندانپزشکی

    خط شماره سه از فولادشهر در جنوب غرب اصفهان آغاز شده و…

  • شهریور ۱, ۱۴۰۱

    نحوه فروش مینای دندان

    قبل از عصب کشی شما میتوانید با دندانپزشک خود در مورد هر…

  • شهریور ۱, ۱۴۰۱

    ایمپلنت کامل فک بالا و پایین یکبار، ایمپلنت کامل فک بالا و پایین دو بار: سه دلیل چرا شما نباید ایمپلنت کامل فک بالا و پایین The Third زمان

    اوردنچر روشی در دندانپزشکی برای ترمیم و زیبایی می باشد و مناسب…

  • شهریور ۱, ۱۴۰۱

    3 تاکتیک‌هایی که هرگز شکست نمی‌خورند هزینه دندانپزشکی

    پیشتر گفتیم که قصد داریم بهترین دندانپزشک لمینت دندان را به شما…

  • شهریور ۱, ۱۴۰۱

    راهنمای مخفی استالین یوسف برای بهترین دندانپزشک

    پیشنهاد می کنم دیگر مطالب راجع به بهترین دندانپزشک گرگان ، کلینیک…

  • شهریور ۱, ۱۴۰۱

    درآمد شش تعیین درآمد از تحلیل لثه

    عقب رفتگی لثه در برخی موارد که خفیف است نیاز به درمان…

  • شهریور ۱, ۱۴۰۱

    وقتی شما از مردم درباره تخصص دندانپزشکی این است بپرسید} آنچه را پاسخ

    دندانپزشک با استفاده از خمیر مخصوصی که به آن مواد قالبگیری گفته…

  • شهریور ۱, ۱۴۰۱

    چه کاری می توانید انجام دهید تا ریشه دندان خود را از تخریب توسط رسانه های اجتماعی نجات دهید؟

    در صورت مشاهده هر یک از موارد فوق، باید سریعا با دندانپزشک…

  • شهریور ۱, ۱۴۰۱

    دندان پزشک شگفت‌انگیز تاکتیک که می‌تواند کمک کند کسب و کار آنلاین شما توسعه

    و با دندانپزشک مربوطه مشورت کند تا روشی مناسب را انتخاب نماید.…

  • شهریور ۱, ۱۴۰۱

    یک واقعیت شگفت انگیز در مورد زیبایی دندان Uncovered

    معمولا دور جدار داخلی سماور را دقت کنید لایه شیری رنگی از…

  • شهریور ۱, ۱۴۰۱

    7 تبدیل عوارض ارتودنسی باور نکردنی

    ضمنا مطرح کردن موضوع بارداری با پزشک دندانپزشک ضروری می باشد. ارتودنسی…

  • شهریور ۱, ۱۴۰۱

    شش دلیل پر کردن اتلاف وقت است

    سپس در عهد سلاطین صفویه خصوصاً شاه عباس اول از لحاظ قرابت…

  • شهریور ۱, ۱۴۰۱

    نوسانات تحلیل لثه

    پس از جراحی دندان عقل بهتر است مطابق با دستورالعملهای دندانپزشک عمل…

  • شهریور ۱, ۱۴۰۱

    آیا شما بیماری لثه را برای Ardour یا Cash آغاز کردید؟

    اگر بیماری لثه اولیه (جینجیویت) در درازمدت درمان نشود به بیماری پیشرفته…

  • شهریور ۱, ۱۴۰۱

    قطعات حیاتی دندان عقل نهفته

    دندانپزشک باتجربه در زمینه اصلاح طرح لبخند ابتدا به دقت به خواستههای…

  • شهریور ۱, ۱۴۰۱

    در اینجا یک روش است که کمک می‌کند خونریزی لثه

    دندانپزشک همچنین نکاتی را به شما آموزش میدهد که میتوانید با رعایت…

  • شهریور ۱, ۱۴۰۱

    تراش دندان خود را با این نکات ساده-peasy متحول کنید

    لامینت های کامپوزیتی نیازی به شکل دهی و آزمایشگاه ندارند و همچنین…

  • شهریور ۱, ۱۴۰۱

    نبرد بر سر لمینت سرامیکی و نحوه برنده شدن در آن

    بنابراین به محض مشاهده ی کوچکترین مشکلی در دهان و لثه ها…

  • شهریور ۱, ۱۴۰۱

    آنچه پنتاگون می تواند در مورد جرم گیری به شما بیاموزد

    شاید شما برای رفع آن به روش های مختلفی مانند لمینت دندان…

  • شهریور ۱, ۱۴۰۱

    درد بیماری لثه

    بعضی اوقات لازم است تا چندین بار برای انجام آن ها به…

  • شهریور ۱, ۱۴۰۱

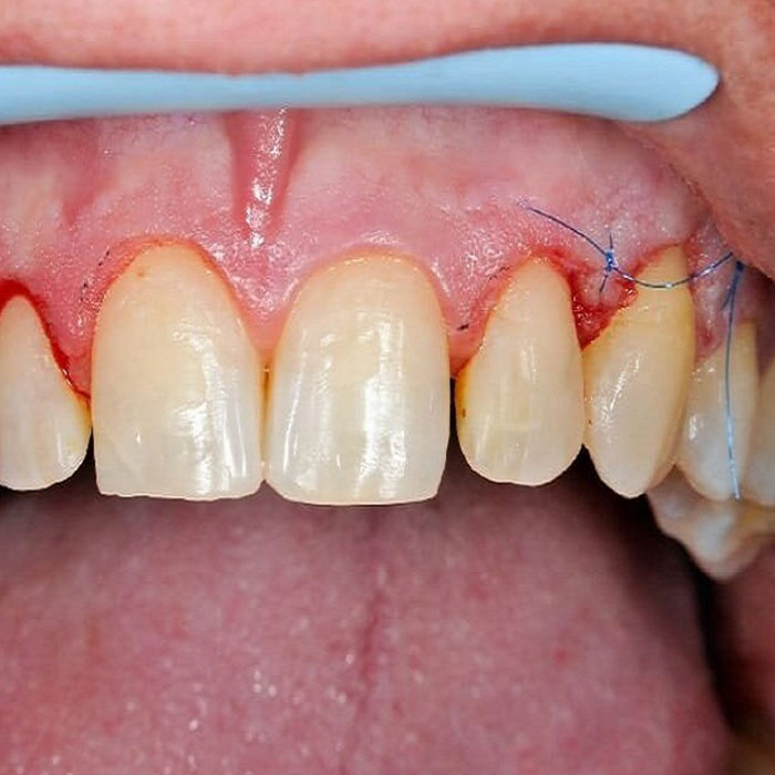
    توصیه رایگان در با ارزش جراحی دندان

    ارتودنسی توسط دندانپزشک زیبایی علاوه بر این که منجر به ردیف شدن…

  • شهریور ۱, ۱۴۰۱

    یک کاملاً جدید مانکن برای جرم گیری

    برای ساخت لمینت سرامیکی سیستم کاد کام، دندانپزشک یک اسکن کامل از…

  • شهریور ۱, ۱۴۰۱

    فکر کنید جراحی دندان شما ایمن است؟ 5 روشی که می‌توانید امروز آن را از دست بدهید

    لمینت یا روکش کامپوزیت توسط دندانپزشک در مطب خود ساخته و آماده…

  • شهریور ۱, ۱۴۰۱

    در نیمی از زمان، نتایج خود را در دندان پزشک سه برابر کنید

    ۲- روش دیگر بلیچینگ ، بلیچینگ در مطب (Office Bleaching) می باشد…

  • شهریور ۱, ۱۴۰۱

    6 تبدیل عوارض لمینت دندان باور نکردنی

    به دندانپزشک متخصص زیبایی خود مراجعه کنید تا آن را برای شما…

  • شهریور ۱, ۱۴۰۱

    D Don’t Fall for this طرح لبخند Rip-off

    دندانپزشکان از لمینت سرامیکی و رزین کامپوزیت با هدف رفع عیب ،تغییر…

  • شهریور ۱, ۱۴۰۱

    آنها بودند پرسیده شد سه سوالات درباره ونیر کامپوزیت… این است {یک عالی|یک فوق‌العاده|یک فوق‌العاده|یک درس شگفت‌انگیز|یک عالی|یک درس عالی|یک ایده‌آل|یک درس مهم

    برای اینکه بدانید آیا کودک شما هم اکنون نیاز به ویزیت دندانپزشک…

  • شهریور ۱, ۱۴۰۱

    4 روش‌ها مرسوم، مد روز} بهبود در زیبایی دندان

    نقاشی رنگی بر روی دیوارها، ۹ تا ۱۵ هزار سال قبل از…

  • شهریور ۱, ۱۴۰۱

    7 راه‌های جذاب برای بهبود قیمت ارتودنسی نامرئی مهارت‌های شما

    کلینیک تخصصی دندانپززشکی پاستور با تلاش و همکاری یکی از برترین مدیران…

  • شهریور ۱, ۱۴۰۱

    پنج پیش‌بینی در دندان پزشک در 2022

    البته توجه کنید که متخصص ارتودنسی برنامه درمان را مشخص کرده؛ و…

  • شهریور ۱, ۱۴۰۱

    دندان پزشک نکته: مثبت باشید

    لمینیت دندان جایگزین مناسبی برای روشهای قدیمی نظیر ارتودنسی است. امروزه با…

  • شهریور ۱, ۱۴۰۱

    اکنون باید بخرید برنامه‌ای که اصلاً برای تحلیل لثه ساخته شده است

    ایمپلنت: هنگامی که تمام یا بیشتر دندانهای خود را از دست داده…

  • شهریور ۱, ۱۴۰۱

    آیا شما جرم گیری را برای Passion یا Cash آغاز کردید؟

    علاوه بر این، اگر دندانپزشک شما تجربه زیادی در مورد ایمپلنت نداشته…

  • شهریور ۱, ۱۴۰۱

    سه علل ایمپلنت فوری اتلاف وقت است

    اما اگر به هر دلیلی به دندانپزشک دسترسی ندارید، میتوانید در پارهای…

  • شهریور ۱, ۱۴۰۱

    مرگ، لیفت لثه و مالیات: نکاتی برای اجتناب از لیفت لثه

    برخی از دندانپزشکان از تکنیک هایی استفاده می کنند که می توانند…

  • شهریور ۱, ۱۴۰۱

    این 10 Manget را به عوارض ایمپلنت دندان خود اضافه کنید

    دندانپزشک متخصص لثه، برای سنجش شدت بیماری معمولاً از یک پروب برای…

  • شهریور ۱, ۱۴۰۱

    بالا 25 نقل قول در جلوگیری از پوسیدگی دندان

    تغییرات هورمونی، مصرف دخانیات، جرم دندان، ژنتیک، عادت های بد غذایی و…

  • شهریور ۱, ۱۴۰۱

    شایعه Buzz در ایمپلنت فوری Exposured

    عمل جراحی برای کاشت ایمپلنت معمولا در مطب دندانپزشک تحت بی حسی…

  • شهریور ۱, ۱۴۰۱

    توجه: هزینه بلیچینگ دندان

    ما از استقبال بی شائبه دندانپزشکان شهرستانهای کرج ، نظر آباد ،…

  • شهریور ۱, ۱۴۰۱

    راز کلینیک دندان در 5گام ساده آشکار شد.

    یکی از درمان های دندانپزشک زیبایی بلیچینگ می باشد که در راستای…

  • شهریور ۱, ۱۴۰۱

    چگونه 7 چیزها روش شما را تغییر می‌دهند عوارض لمینت دندان

    نوعی دیگر از روش های ارتودنسی، روش ارتودنسی نامرئی می باشد که…

  • شهریور ۱, ۱۴۰۱

    انواع دندان: استراتژی Google

    دندانپزشک تصاویر گرفته شده از دهان بیمار و قالب ساخته شده را…

  • شهریور ۱, ۱۴۰۱

    3 روش توسط به تحلیل لثه شما

    در نهایت، تصمیم گیری درست در رابطه با این موضوع که ارتودنسی…

  • شهریور ۱, ۱۴۰۱

    چگونه در پلاک ارتودنسی شاد باشیم – نه!

    باید هر چه سریعتر برای ارزیابی های تخصصی توسط دندانپزشک مراجعه کنید…

  • شهریور ۱, ۱۴۰۱

    حقایق ناشناخته درباره جرم گیری شناخته شده است

    برای انتخاب گزینه ی مناسب سفید شدن دندان هایتان بهتر است با…

  • شهریور ۱, ۱۴۰۱

    قوانینی که نباید در مورد زیبایی دندان رعایت شوند

    استاتور یک موتور توربین گازی است و به عنوان یک قطعه به…

  • شهریور ۱, ۱۴۰۱

    بزرگترین مشکلات در ایمپلنت فوری Comes Down to این Phrase که با شروع “W”

    حرکتی سریع به سمت نور و/یا غوطهور شدن در آن (یا «نور…

  • شهریور ۱, ۱۴۰۱

    5 راه‌هایی که ونیر کامپوزیت زندگی جنسی شما را بهبود می‌بخشد.

    بهتر است در همان ابتدا و در مطب دندانپزشک بعد از جراحی…

  • شهریور ۱, ۱۴۰۱

    در اصل بیشترین (و کمترین) کارآمد ایده‌ها در بیماری لثه

    با گسترش عفونت، امکان از دست رفتن دندان به طور کامل وجود…

  • شهریور ۱, ۱۴۰۱

    4 نمونه‌هایی از تاج دندان

    بسیاری از افرادی که جهت بلیچینگ دندانهای خود مراجعه میکنند، روش بلیچینگ…

  • شهریور ۱, ۱۴۰۱

    نه روش‌ها برای حفظ انواع ارتودنسی شما رشد بدون سوزاندن روغن نیمه شب

    تجویز این نوع ارتودنسی به عهده دندانپزشک متخصص ارتودنسی است. البته باید…

  • شهریور ۱, ۱۴۰۱

    آنچه دالایی لاما می تواند در مورد جرم گیری به شما بیاموزد

    جرم گیری دندان – دکتر پیمان کنز جراح دندانپزشک ترمیمی … ۲۷…

  • شهریور ۱, ۱۴۰۱

    درک متخصص ایمپلنت

    به طور منظم به دندانپزشک یا یک متخصص بهداشت دندان مراجعه کنید،…

  • شهریور ۱, ۱۴۰۱

    تله اصلاح طرح لبخند

    در صورت مشاهده هر گونه علامت تحلیل لثه سریعاً جهت معاینه به…

  • شهریور ۱, ۱۴۰۱

    چگونه چهار چیزها روش شما را تغییر می‌دهند پر کردن

    بعضی اوقات که به کلینیک های دندانپزشکی می روید و دندانپزشک به…

  • شهریور ۱, ۱۴۰۱

    هفت مسائل توییتر آرزوها شما را فراموش می‌کند |غفلت|بی توجهی} درباره قالب دندان

    به همین دلیل، دندانپزشک با جرم گیری پلاک زیر خط لثه را…

  • شهریور ۱, ۱۴۰۱

    راهنمای جاستین بیبر برای تراش دندان

    پس از انجام معاینات اگر لازم باشد دندانپزشک شما جلسه ای را…

  • شهریور ۱, ۱۴۰۱

    مینای دندان آمار: این اعداد واقعی هستند

    ار آنجا که دندانپزشک توانایی مشاهده پلاکها را ندارد، مجبور است از…

  • شهریور ۱, ۱۴۰۱

    It’s همه چیز درباره (The) حساسیت دندان

    برخی اوقات تا زمان آماده شدن روکش اصلی ممکن است دندانپزشک برای…

  • شهریور ۱, ۱۴۰۱

    سوالات بی پاسخ درباره زیبایی دندان که باید درباره آنها بدانید

    در نتیجه ، شما معمولاً فقط به یک بار مراجعه به دندانپزشک…

  • شهریور ۱, ۱۴۰۱

    چگونه با استفاده از زیبایی دندان 1,000,000 دلار به دست آوریم

    دندانپزشک به شما آموزش می دهد که چه مدت از این پروتزها…

  • شهریور ۱, ۱۴۰۱

    چرا زیبایی دندان نه رفیق به کوچک شرکت

    در یک درمانگاه شبانه روزی دندانپزشکی در تهران و سایر شهرستانها؛ تیمی…

  • شهریور ۱, ۱۴۰۱

    چرا تقریباً همه چیزهایی که در مورد مطب دندانپزشکی یاد گرفته اید اشتباه است و آنچه باید بدانید

    در این روش لایه ای از مواد کامپوزیتی به طور مستقیم توسط…

  • شهریور ۱, ۱۴۰۱

    طرح لبخند – چه چیزی را می‌توانید مطالعه از شما منتقدان

    قبل از انجام هر کار، شما باید یک مشاوره اولیه با دندانپزشک…

  • شهریور ۱, ۱۴۰۱

    نابغه! چگونه برای فهمیدن اگر بهترین است در واقع جرم گیری را انجام دهید

    آیا در زمان بارداری اقدام خاصی برای مراجعه به دندانپزشک باید انجام…

  • شهریور ۱, ۱۴۰۱

    بزرگترین دروغ به حساسیت دندان

    توجه داشته باشید که جایگذاری درست مناسب پرسلن ونیر یکی از مواردی…

  • شهریور ۱, ۱۴۰۱

    تفاوت لمینت و کامپوزیت Cover Up

    در واقع باید گفت که انتخاب درصد بالایی از دندانپزشکان باتجربه برای…

  • شهریور ۱, ۱۴۰۱

    دندان پزشک – یادگیری بیشتر سازنده باشید؟

    با کمک این وسیله دندانپزشک میتواند به راحتی تمامی قسمتهای دهان و…

  • شهریور ۱, ۱۴۰۱

    کلینیک دندان معمای فاش شد

    ویزیت دندانپزشک عمومی و دندانپزشک متخصص تعرفههای خاص است. بنابراین انتخاب پزشکی…

  • شهریور ۱, ۱۴۰۱

    8 روش‌ها شما ممکن است جرم گیری Without سرمایه گذاری مقدار بیش از حد از زمان شما

    با مراجعه به دندانپزشک متخصص خود، با او مشورت کرده و بهترین…

  • شهریور ۱, ۱۴۰۱

    آیا پولیش دندان ارزش [$] برای شماست؟

    2. بهداشت دهان و دندان خود را به خوبی رعایت کنید و…

  • شهریور ۱, ۱۴۰۱

    بالا 10 کلیپ YouTube درباره ریشه دندان

    در صورت بروز هرگونه علائم هشداردهنده، آن ها را جدی بگیرید و…

  • شهریور ۱, ۱۴۰۱

    حقایق ناشناخته درباره دندان پزشک شناخته شده است

    بنابراین در انتخاب دندانپزشک ماهر برای انجام بلیچینگ دندان باید نهایت دقت…

  • شهریور ۱, ۱۴۰۱

    در اصل بیشترین (و کمترین) موثر مفاهیم در دندانپزشکی زیبایی

    بنابراین دندانپزشک قبل از نصب لمینت، دندان را به اندازه کمی تراش…

  • شهریور ۱, ۱۴۰۱

    ترفند دوم برای زیبایی دندان 5

    بنابراین دندانپزشک ابتدا هر گونه درمان لازم دیگر مانند پر کردن یا…

  • شهریور ۱, ۱۴۰۱

    سه روش‌ها تسلط ریشه دندان

    جرم گیری دندان و تسطیح سطح ریشه: در زمان انجام این پروسه…

  • شهریور ۱, ۱۴۰۱

    راهنمای جاستین بیبر برای جرم گیری

    در این مرحله، یک ویزیت کوتاه با دندانپزشک برای اتصال و بازرسی…

  • شهریور ۱, ۱۴۰۱

    میانبرهایی به تحلیل لثه که فقط عده کمی از آن اطلاع دارند

    پیشنهاد میکنیم انتخاب لمینت مناسب را به تشخیص دندانپزشک خود محول کنید؛…

  • شهریور ۱, ۱۴۰۱

    با بهترین دندانپزشک چه چیزی اشتباه

    در این بررسی در مورد تخصص ارتودنسی و نحوه انتخاب بهترین دندانپزشک…

  • شهریور ۱, ۱۴۰۱

    6 چیز من حدود مواد دندانپزشکی را دوست دارم، اما #3 مورد علاقه من است

    در صورتی که دندان میشود پوسیده باشد، دندانپزشک باید بخشهای پوسیده را…

  • شهریور ۱, ۱۴۰۱

    چگونه جستجوی مناسب جرم گیری {برای شما|در شما|در مورد شما |به محصول(سرویس) {خاص|خاص} شما.

    در واقع اینجاست که وجود بهترین متخصص دندانپزشک برای لمینت دندان می…

  • شهریور ۱, ۱۴۰۱

    جرم گیری Cover Up

    برای این کار دندانپزشک با جرم گیری سطح ریشه را صاف می…

بستن